go-to-top
1/18

Trám răng thẩm mỹ tại Nha khoa Sen Vàng

79.000 đ -74%
300.000 đ
demo-qr
Thanh toán VNPAY QR
Tích lũy đến 350 điểm thưởng
Số lượng - 1 +
HSD:  31/07/2021
Hết hạn
Thanh toán nhanh với mã QR icon-qr-orange
Deal thật, khuyến mại thật
Giá bán tại Dealtoday luôn thấp hơn tại điểm bán
Hoàn tiền 100% nếu Khách hàng không hài lòng

Thông tin nổi bật

  • Voucher áp dụng cho dịch vụ “Trám răng thẩm mỹ tại Nha khoa Sen Vàng”.
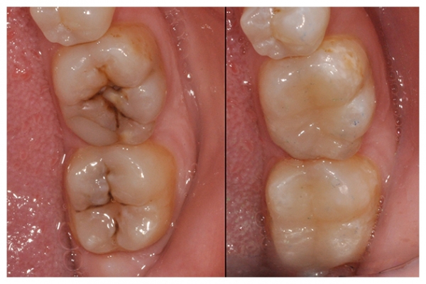
  • Trám răng là phương pháp thay thế phần mô răng sâu, mất chất bằng composite giúp phục hồi lại hình dạng và chức năng của răng, hạn chế tái phát sâu răng.
  • Nha sĩ sẽ loại bỏ lớp mô sâu để đảm bảo xoang trám sạch trước khi đặt vật liệu. Nếu xoang sâu sát các dây thần kinh của răng (tủy răng), một loại thuốc bảo vệ tủy sẽ được đặt trước khi trám bằng composite. Vật liệu composite sẽ được đặt vào xoang trám, tạo hình và đánh bóng, nhằm phục hồi lại hình dạng, chức năng ban đầu của răng.
  • Nha khoa Sen Vàng tọa lạc tại 17B Bình Thới, Phường 11, Quận 11, TP HCM có cơ sở vật chất được trang bị hiện đại, máy móc nhập khẩu, hỗ trợ tối đa cho các gói dịch vụ đạt kết quả cao.
  • Nha khoa cung cấp đầy đủ và đa dạng các dịch vụ chăm sóc răng miệng như: Nhổ răng, Gắn răng giả, Tẩy trắng răng, Hàn răng, Gắn đá quý, kim cương…
  • Đội ngũ nha sĩ chuyên nghiệp tận tâm, không ngừng học hỏi trau dồi kinh nghiệm nhằm đem lại kết quả điều trị tốt cho khách hàng.
  • Đến với Nha khoa Sen Vàng, quý khách sẽ được tư vấn dịch vụ điều trị phù hợp, mang lại kết quả như mong muốn.

Điều kiện sử dụng

  • Áp dụng cho voucher “Trám răng thẩm mỹ tại Nha khoa Sen Vàng”.
  • Voucher áp dụng cho trám 01 răng.
  • Khách hàng sử dụng: Nam, Nữ
  • Ngày/ giờ áp dụng: 08h00 - 20h00. Từ Thứ 2 đến Chủ nhật
  • Lịch nghỉ Tết: 01/02/2019 - 14/02/2019
  • 01 voucher/ 01 khách/ 01 lần sử dụng
  • Khách hàng liên hệ đặt chỗ trước khi đến để được phục vụ tốt
    • Điện thoại liên hệ: 090 144 77 12
    • Địa chỉ: 17B Bình Thới, Phường 11, Quận 11, TP HCM
  • Một khách hàng được mua 03 E-Voucher/E-Coupon để sử dụng
  • E-Voucher/E-Coupon không có giá trị quy đổi thành tiền mặt, không trả lại tiền thừa.
  • Không áp dụng đồng thời với chương trình khuyến mại khác
Xem thêm

Giới thiệu sản phẩm


Trám răng thẩm mỹ là một điều trị nha khoa thông thường và cũng là một giải pháp thẩm mỹ cho những chiếc răng bị sứt mẻ nhỏ; không hề gây cảm giác khó chịu cho khách hàng. Đến Nha khoa Sen Vàng, Quý khách sẽ nhận được sự tư vấn, thăm khám tận tình của đội ngũ y, bác sĩ, giúp khắc phục tình trạng răng hiệu quả.

Trám răng thẩm mỹ tại Nha khoa Sen Vàng


Chi tiết dịch vụ

  • Bước 01: Thăm khám và tư vấn
  • Bước 02: Nạo sạch vết sâu
  • Bước 03: Cách ly răng cần trám và chuẩn bị bề mặt răng cần trám
  • Bước 04: Tiến hành hàn trám răng
  • Bước 05: Chỉnh sửa lại vết trám

Lưu ý: Kết quả đạt được còn tùy thuộc vào cơ địa từng người.

Trám răng là phương pháp không chỉ phục hồi lại hình dạng, chức năng nhai mà còn trả lại cho răng màu sắc tự nhiên, thậm chí có thể che đậy những khuyết điểm của men răng.

 
Nha sĩ sẽ loại bỏ lớp mô sâu để đảm bảo xoang trám sạch trước khi đặt vật liệu. Nếu xoang sâu sát các dây thần kinh của răng (tủy răng), một loại thuốc bảo vệ tủy sẽ được đặt trước khi trám bằng composite. Vật liệu composite sẽ được đặt vào xoang trám, tạo hình và đánh bóng, nhằm phục hồi lại hình dạng, chức năng ban đầu của răng.

 
Tọa lạc tại 130 Hoa Lan, Phường 2, Quận Phú Nhuận, TP. Hồ Chí Minh, Nha khoa Sen Vàng là địa chỉ chăm sóc răng miệng được đông đảo khách hàng Sài thành biết tới và tín nhiệm.

 

 

 
Nha khoa Sen Vàng có cơ sở vật chất được trang bị hiện đại, máy móc nhập khẩu, hỗ trợ tối đa cho các gói dịch vụ đạt kết quả cao. Tại đây cung cấp đầy đủ và đa dạng các dịch vụ chăm sóc răng miệng như: Nhổ răng, Gắn răng giả, Tẩy trắng răng, Hàn răng, Gắn đá quý, kim cương…

 

 
Đội ngũ nha sĩ chuyên nghiệp tận tâm, không ngừng học hỏi trau dồi kinh nghiệm nhằm đem lại kết quả điều trị tốt cho khách hàng. Đến với Nha khoa Sen Vàng, quý khách sẽ được tư vấn dịch vụ điều trị phù hợp, mang lại kết quả như mong muốn.

 

 

 
Truy cập Dealtoday.vn để sở hữu vô vàn deal sức khỏe - làm đẹp chất lượng cùng mức giá vô cùng hấp dẫn!


Dealtoday

Địa điểm sử dụng

Hồ Chí Minh
17B Bình Thới, Phường 11, Quận 11, TP.HCM
79.000 đ -74%
300.000 đ
Thanh toán VNPAY QR
Tích lũy đến 350 điểm thưởng
Số lượng - 1 +
HSD:  31/07/2021
Hết hạn
Thanh toán VNPAY QR icon-qr-orange

Dành cho bạn